实鼠罕见 | 溶酶体酸性脂肪酶缺乏症(LAL-D)小鼠模型
溶酶体酸性脂肪酶缺乏症(lysosomal acid lipase dificiency,LAL-D)是一种罕见的、慢性的、逐渐加重的常染色体隐性遗传性疾病。
LIPA基因会出现错义突变、无义突变、插入/缺失、剪接位点突变、复杂重组等,导致溶酶体酸性脂肪酶(lysosomal acid lipase,LAL)活性缺失或严重不足(<1%的正常活性)。LAL功能缺失或降低,使溶酶体降解低密度脂蛋白、胆固醇酯和三酰甘油的功能丧失或降低,胆固醇酯和三酰甘油在组织细胞内贮积,血浆胆固醇水平升高,进而导致内脏器官出现黄色瘤样变化。
图1. 健康个体和LAL-D患者的细胞胆固醇稳态的示意图[1]。
根据发病年龄和临床表现不同,分为婴儿期起病的沃尔曼病(Wolman disease,WD)和儿童及成人期起病的胆固醇酯贮积病(cholesterol ester storage disease,CESD)。目前针对溶酶体酸性脂肪酶缺乏症的治疗方法主要包括病因治疗和对症治疗。Sebelipase alfa是首个获批的酶替代治疗药物,能改善血脂异常、肝功能、胃肠道症状,并延长生存期。
病因治疗:造血干细胞移植和酶替代治疗。
对症支持治疗:低脂饮食、胃肠外营养、糖皮质激素和盐皮质激素替代等。
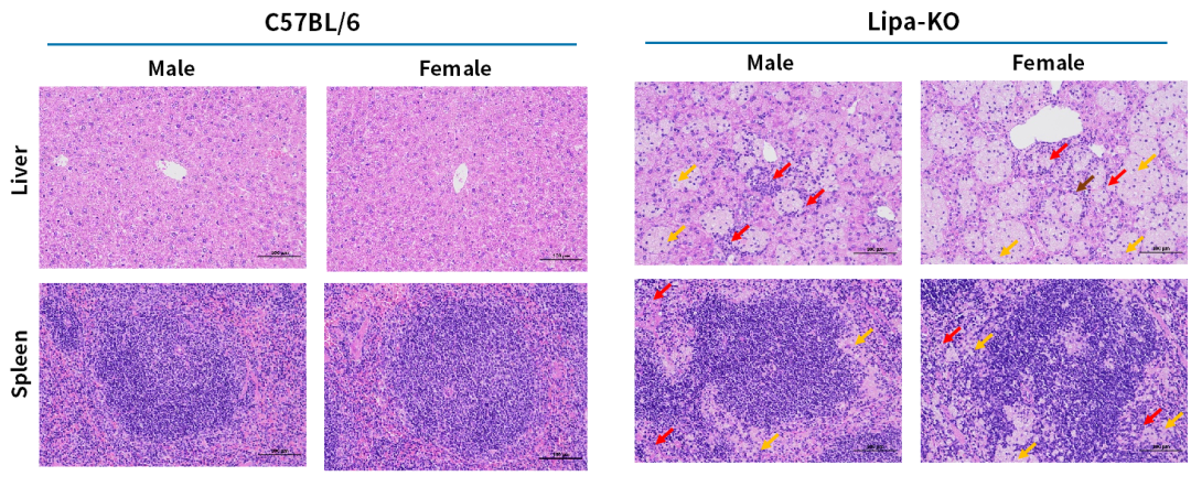
南模生物LAL-D模型
南模生物长期助力罕见病基因治疗研究,构建了Lipa-KO溶酶体酸性脂肪酶缺乏症模型,助力溶酶体酸性脂肪酶缺乏症相关机制研究需求,为相关药物的药效评估和安全性评价提供了强有力的工具。
同时,南模生物开发了上百种罕见病相关小鼠模型,为罕见病的病理研究、药效评估和药物安全性评价提供了强有力的工具,部分品系信息如下:
上下滑动查看
如您有相关需求,欢迎拨打400-728-0660或者于微信公众号南模生物SMOC在线咨询,或致信marketing@modelorg.com,我们的专业团队将竭诚为您服务!
Reference:
[1] Reiner Ž, Guardamagna O, Nair D, et al. Lysosomal acid lipase deficiency--an under-recognized cause of dyslipidaemia and liver dysfunction. Atherosclerosis. 2014;235(1):21-30. doi:10.1016/j.atherosclerosis.2014.04.003
关于我们
上海南方模式生物科技股份有限公司(Shanghai Model Organisms Center, Inc.,简称"南模生物"),成立于2000年9月,是一家上交所科创板上市高科技生物公司(股票代码:688265),始终以编辑基因、解码生命为己任,专注于模式生物领域,打造了以基因修饰动物模型研发为核心,涵盖多物种模型构建、饲养繁育、表型分析、药物临床前评价等多个技术平台,致力于为全球高校、科研院所、制药企业等客户提供全方位、一体化的基因修饰动物模型产品解决方案。
你也可能感兴趣
On Dec 16, 2018, Broad Institute and Shanghai Model Organisms Center Inc (SMOC) has entered into a non-exclusive license agreement under which Broad has granted SMOC worldwide rights to commercialize a service platform for genetically modified mouse models under Broad's intellectual property.
查看SMOC’s Annual Progress and Advances in Preclinical immuno-Oncology Research: The workshop is designed as a forum for ideas and opinions exchange on how to decrease the rate of clinical failures in oncology and immuno-oncology.
查看At GenoBioTX, we understand that the lengthy wait times for gene-modified mouse models can hinder your research progress. Traditional methods often require 6-9 months, leading to delays and increased costs. That’s why we’re thrilled to introduce our innovative service designed to streamline this process and deliver results faster.
查看
