银屑病研究新助力:IL-23细胞因子诱导模型
Psoriasis 银屑病 银屑病(Psoriasis)俗称牛皮癣,是皮肤科常见的炎症性自身免疫性疾病,作为目前最常见的自身免疫性疾病之一,全球的患病率高达2%~3%。典型临床表现为局限或广泛的点疹、红斑、鳞屑和脓疱,不具有传染性。银屑病会引起瘙痒、刺激、烧灼感和刺痛,约30%的皮肤银屑病患者也有银屑病性关节炎。
银屑病病因 虽然银屑病的确切病因尚未完全阐明,但遗传、免疫与环境因素在银屑病的发生中发挥重要作用。遗传是银屑病发病的主要风险因素,白细胞介素23(IL-23)和辅助性T细胞17(Th17)细胞相关的免疫通路是银屑病发病的核心机制。 遗传因素 迄今为止,已发现的银屑病易感位点有PSORS1-15(其中PSORS9为中国汉族人群所特有),已确认的银屑病易感基因有IL-12B、IL-15、IL-23R、LCE3B/3C/3D、IL-23A、IL-17A、TNFAIP3等80多个。 环境因素 环境因素在银屑病的诱发、复发或加重过程中发挥重要作用,包括感染、精神紧张、抽烟、酗酒、某些药物反应等。点滴状银屑病发病常与咽部急性链球菌感染有关。精神紧张如应激、睡眠障碍、过度劳累可致银屑病发生、加重或复发,精神紧张缓解后病情也随之减轻。创伤如手术、烫伤或擦伤可使受损局部发生同形反应而诱发银屑病。 免疫因素 T细胞、树突细胞、中性粒细胞和角质形成细胞等多种细胞,通过肿瘤坏死因子α(TNF-α)、γ干扰素(IFN-γ)、IL-17和IL-22等细胞因子,引起银屑病特征性变化,包括中性粒细胞浸润、血管生成。活化的树突细胞等可产生IL-12和IL-23,诱导Th1、Th17和Th22细胞活化或增殖,产生TNF-α、IL-17和IL-22等细胞因子,刺激角质形成细胞过度增殖及产生相关的细胞因子和趋化因子,形成炎症循环。其中IL-23和Th17细胞发挥了核心作用,IL-23可促进Th17细胞产生IL-17,IL-17家族中IL-17A与银屑病发病机制最为密切。TNF-α可促进多种炎症细胞因子、趋化因子和血管黏附分子等的表达,并放大IL-17等细胞因子效应。IFN-γ可促进IL-23和Th17细胞的反应。IL-15和IL-23可协同刺激Th17细胞反应。此外,IL-17A可通过激活信号传导子和转录活化子1(STAT1)和STAT3通路促进角蛋白K17表达,参与银屑病发病,靶向抑制K17通路可作为银屑病新的治疗策略。上述免疫分子与相应的细胞膜受体结合后,通过Janus激酶(JAK)、磷酸二酯酶4(PDE4)等信号通路传递,引发寻常型银屑病及PsA。此外,IL-36通路在脓疱型银屑病尤其是泛发性脓疱型银屑病(generalized pustular psoriasis,GPP)发病中起关键作用[1]。
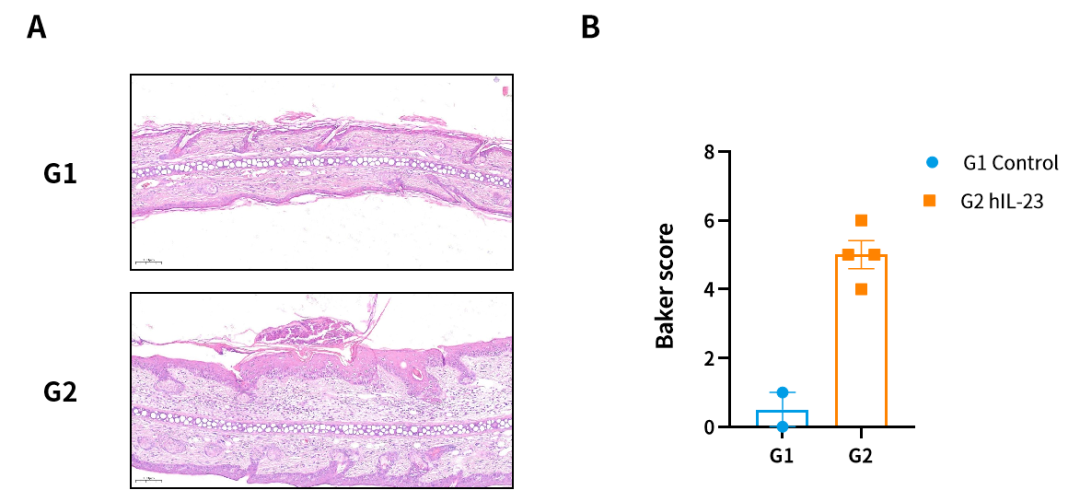
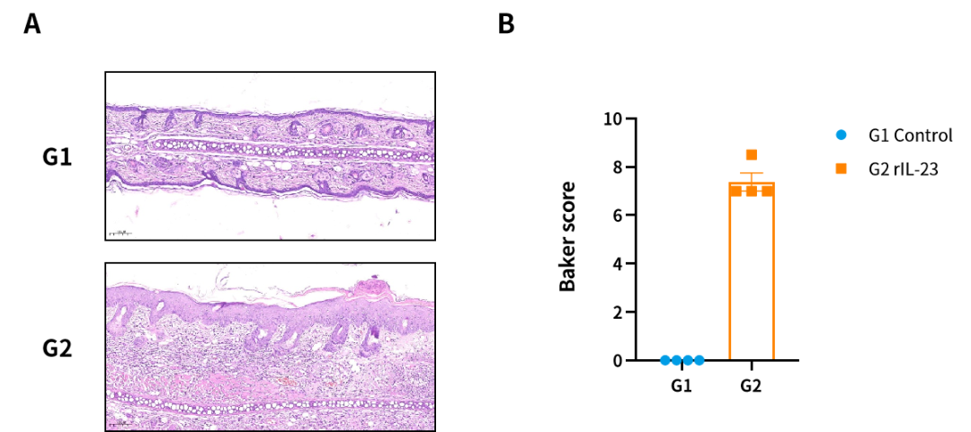
南模生物银屑病模型 南模生物长期致力于自身免疫性疾病相关研究,开发了多种银屑病小鼠模型,为相关药物的药效评估和安全性评价提供了强有力的工具。 在前面的推文中我们已经对IMQ诱导Balb/c、hIL23A、hPD-1/hPD-L1、hIL17A/hIL17F银屑病小鼠模型进行过介绍,相关数据可点击下方链接查看:
除上述模型外,南模生物还可提供银屑病相关靶点人源化小鼠模型,助力新药研发。部分相关品系如下表:
如您有相关需求,欢迎拨打400-728-0660或于微信公众号南模生物SMOC在线咨询,或致信marketing@modelorg.com,我们的专业团队将竭诚为您服务!
Reference: [1] 中国银屑病诊疗指南(2023版) - 中华皮肤科杂志 (yiigle.com)
关于我们 上海南方模式生物科技股份有限公司(Shanghai Model Organisms Center, Inc.,简称"南模生物"),成立于2000年9月,是一家上交所科创板上市高科技生物公司(股票代码:688265),始终以编辑基因、解码生命为己任,专注于模式生物领域,打造了以基因修饰动物模型研发为核心,涵盖多物种模型构建、饲养繁育、表型分析、药物临床前评价等多个技术平台,致力于为全球高校、科研院所、制药企业等客户提供全方位、一体化的基因修饰动物模型产品解决方案。
你也可能感兴趣
On Dec 16, 2018, Broad Institute and Shanghai Model Organisms Center Inc (SMOC) has entered into a non-exclusive license agreement under which Broad has granted SMOC worldwide rights to commercialize a service platform for genetically modified mouse models under Broad's intellectual property.
查看SMOC’s Annual Progress and Advances in Preclinical immuno-Oncology Research: The workshop is designed as a forum for ideas and opinions exchange on how to decrease the rate of clinical failures in oncology and immuno-oncology.
查看At GenoBioTX, we understand that the lengthy wait times for gene-modified mouse models can hinder your research progress. Traditional methods often require 6-9 months, leading to delays and increased costs. That’s why we’re thrilled to introduce our innovative service designed to streamline this process and deliver results faster.
查看
