自免赛道“全能选手”——IL17
多种自免疾病的发生发展均与IL-17相关,如银屑病、类风湿性关节炎、多发性硬化症、系统性红斑狼疮、强直性脊柱炎、炎症性肠病、克罗恩病等。作为自身免疫性疾病领域的“全能选手”,IL-17究竟有何独特之处?接下来,小编将为您揭开其神秘面纱。
IL-17简介 IL-17是一种细胞因子,属于白细胞介素家族。IL-17家族包括6个结构相关的细胞因子:IL-17A、IL-17B、IL-17C、IL-17D、IL-17E(即IL-25)和IL-17F。 IL-17家族的成员都具有相似的蛋白质结构,其中研究最多的是IL-17A和IL-17F。IL-17A和IL-17F作为该家族的“双子星”,其结构相似度高达55%,是炎症反应和自免疾病中的“主力军”。IL-17A和IL-17F以同源二聚体或异源二聚体的形式,与IL-17RA和IL-17RC受体复合物结合,激活下游信号通路,引发一系列免疫反应。 图1. IL-17 细胞因子和受体家族[1]
IL-17的功能 作为免疫系统的双刃剑。一方面,IL-17通过促进中性粒细胞的募集、抗菌肽的产生以及增强上皮屏障功能,在抵御真菌和细菌感染中发挥保护性免疫作用。另一方面,当IL-17反应失调时,可能会导致组织炎症和损伤,进而引发自身免疫性疾病。 图2. IL-17在免疫系统中具有双重性[2]
IL-17靶点药物研发现状 目前全球已上市的靶向IL-17家族的自免药物有7款,涉及的适应症包括银屑病、银屑病关节炎、强直性脊柱炎等,与此同时,这些药物正通过临床试验向炎症性肠病(IBD)、多发性硬化症(MS)等新领域拓展。在研发端,IL-17靶点热度持续攀升——超20款在研药物(含双抗、小分子抑制剂等)处于临床阶段,其差异化设计(如靶向IL-17A/F双亚型、口服给药)有望进一步释放该通路的治疗潜力。基于庞大的未满足临床需求与机制研究的深化,IL-17家族无疑是自身免疫药物研发的长期核心赛道。 表1. IL17靶点上市及临床阶段药物统计 上下滑动查看(不完全统计)
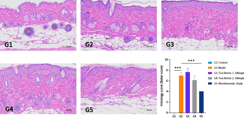
南模生物相关小鼠模型 南模生物长期致力于药物靶点人源化模型研究领域,自主研发了IL-17A/IL-17F靶点人源化(hIL17A/hIL17F,目录号:NM-HU-200281)小鼠模型,为相关药物的药效评估和安全性评价提供了强有力的工具。 图1. ELISA检测hIL17A/hIL17F小鼠血清(A)人白细胞介素17A和(B)人白细胞介素17F的表达。 IMQ诱导的hIL17A/hIL17F小鼠银屑病模型及药效评价 图2. IMQ诱导的hIL17A/hIL17F小鼠银屑病模型。(A)体重;(B)体重变化。(测试药物1/2来自于合作伙伴) 图3. IMQ诱导的hIL17A/hIL17F小鼠银屑病模型。(A)耳厚度变化;(B)皮肤厚度变化;(C)临床评分。(测试药物1/2来自于合作伙伴) 图4. IMQ诱导的hIL17A/hIL17F小鼠银屑病模型。(A)红斑评分;(B)皮肤厚度评分;(C)鳞屑评分。(测试药物1/2来自于合作伙伴) 图5. IMQ诱导的hIL17A/hIL17F小鼠银屑病模型。小鼠背部皮肤H&E染色及病理学评分。(测试药物1/2来自于合作伙伴) 除上述外,南模生物还可提供其他IL17相关靶点人源化小鼠模型,助力新药研发。 如您有相关需求,欢迎拨打400-728-0660或于微信公众号南模生物SMOC在线咨询,我们的专业团队将竭诚为您服务!
Reference: [1] Huangfu L, Li R, Huang Y, Wang S. The IL-17 family in diseases: from bench to bedside. Signal Transduct Target Ther. 2023;8(1):402. Published 2023 Oct 11. doi:10.1038/s41392-023-01620-3 [2] Mills KHG. IL-17 and IL-17-producing cells in protection versus pathology. Nat Rev Immunol. 2023;23(1):38-54. doi:10.1038/s41577-022-00746-9
关于我们 上海南方模式生物科技股份有限公司(Shanghai Model Organisms Center, Inc.,简称"南模生物"),成立于2000年9月,是一家上交所科创板上市高科技生物公司(股票代码:688265),始终以编辑基因、解码生命为己任,专注于模式生物领域,打造了以基因修饰动物模型研发为核心,涵盖多物种模型构建、饲养繁育、表型分析、药物临床前评价等多个技术平台,致力于为全球高校、科研院所、制药企业等客户提供全方位、一体化的基因修饰动物模型产品解决方案。
你也可能感兴趣
On Dec 16, 2018, Broad Institute and Shanghai Model Organisms Center Inc (SMOC) has entered into a non-exclusive license agreement under which Broad has granted SMOC worldwide rights to commercialize a service platform for genetically modified mouse models under Broad's intellectual property.
查看SMOC’s Annual Progress and Advances in Preclinical immuno-Oncology Research: The workshop is designed as a forum for ideas and opinions exchange on how to decrease the rate of clinical failures in oncology and immuno-oncology.
查看At GenoBioTX, we understand that the lengthy wait times for gene-modified mouse models can hinder your research progress. Traditional methods often require 6-9 months, leading to delays and increased costs. That’s why we’re thrilled to introduce our innovative service designed to streamline this process and deliver results faster.
查看
