造模百科 | 5/6肾切除诱发的CKD模型
在啮齿动物中已经开发了不同的 CKD 模型,其中5/6肾切除诱发的CKD模型是一种较为成熟和经典的研究慢性肾衰肾脏纤维化发生发展机制的实验模型。
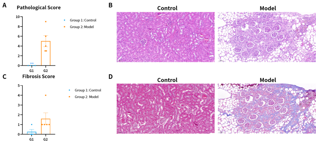
造模原理
小鼠的肾脏被切除5/6后,全身的血液滤过功能将由残余的肾单位承担。剧烈的血流动力学改变会直接导致肾小球高滤过,进而导致肾小球硬化和残余肾单位的破坏,出现以肾小球肥大、硬化等为主要特点的慢性肾衰竭的肾间质纤维化病变。
造模动物
C57BL/6小鼠
造模方法
为保证小鼠存活率,常采取两步法对小鼠肾脏进行切除:
适应性喂养1周后,麻醉小鼠,并切除小鼠左肾2/3;
一期手术7天后,切除整个右肾。
模型特点
肾小球肥大、硬化为主要特点,表现出与人类肾脏纤维化一致的过程;
符合肾小球高灌注、高滤过、高压力致肾衰的学说;
排除了各种原发肾脏疾病的致病因素对残存肾单位的影响,使影响因素简单化;
通过改变肾切除的量对发生肾衰的时间进行控制,满足不同实验的需要;
可用于临床上CRF治疗相关药物的研究。
更多CKD动物模型,可参考往期推文:
南模生物深耕基因编辑领域,提供全方位模式生物服务,包括基因修饰成品模型供应、个性化模型定制、饲养繁育、表型分析、药效评价等,满足不同实验室需求。若您有相关需求,欢迎拨打400-728-0660热线或于南模生物微信公众号在线咨询,我们的专业团队将竭诚为您服务!
关于我们
上海南方模式生物科技股份有限公司(Shanghai Model Organisms Center, Inc.,简称"南模生物"),成立于2000年9月,是一家上交所科创板上市高科技生物公司(股票代码:688265),始终以编辑基因、解码生命为己任,专注于模式生物领域,打造了以基因修饰动物模型研发为核心,涵盖多物种模型构建、饲养繁育、表型分析、药物临床前评价等多个技术平台,致力于为全球高校、科研院所、制药企业等客户提供全方位、一体化的基因修饰动物模型产品解决方案。
你也可能感兴趣
On Dec 16, 2018, Broad Institute and Shanghai Model Organisms Center Inc (SMOC) has entered into a non-exclusive license agreement under which Broad has granted SMOC worldwide rights to commercialize a service platform for genetically modified mouse models under Broad's intellectual property.
查看SMOC’s Annual Progress and Advances in Preclinical immuno-Oncology Research: The workshop is designed as a forum for ideas and opinions exchange on how to decrease the rate of clinical failures in oncology and immuno-oncology.
查看At GenoBioTX, we understand that the lengthy wait times for gene-modified mouse models can hinder your research progress. Traditional methods often require 6-9 months, leading to delays and increased costs. That’s why we’re thrilled to introduce our innovative service designed to streamline this process and deliver results faster.
查看
